Menu
New Patients
(208) 254-6365
Current Patients
(208) 377-2160
Request Appointment
Leave a Review
New Patients Call
(208) 254-6365
Our Office
Meet Dr. Garpetti
Meet Dr. Hyder
Meet Our Team
Leave A Review
Testimonials
Video Testimonials
Tour Our Office
Contact Us
Mission Trip
Dental Services
Cosmetic Dentistry
Invisible Braces
Lumineers
Porcelain Veneers
Tooth Bonding
Tooth Whitening
Xeomin & Dermal Fillers
General Dentistry
Dental Cleanings
Dental Fillings
Emergency Dentistry
Laser Dentistry
Mouthguards
Pediatric Dentistry
Root Canal
Sedation Dentistry
Restorative Dentistry
Dental Bridges
Dental Crowns
Dentures & Partials
Inlays & Onlays
Periodontal Therapy
Tooth Extractions
Dental Implants
Dental Implants FAQs
Dental Implant Process
Cost of Dental Implants
Parts of a Dental Implant
Single Dental Implant
Multiple Dental Implants
Dental Implants and Dentures
Dental Concerns
Bleeding Gums
Crooked Teeth
Fear of the Dentist
Headaches
Missing Teeth
Sleep Apnea
Teeth Grinding
TMJ Treatment
For Patients
First Visit
Patient Forms
Payment & Insurance
Blog
Smile Gallery
New Patient Specials
Boise ID Dentist
Smile Gallery
All
Before
After
“Instant Orthodontics” Porcelain Veneers are a great way to correct crowded and misaligned teeth in only two visits.
Before
After
Porcelain Veneers were used on the front 6 teeth on this individual to add length lost to tooth wear and to correct the gap in the middle of the smile.
Before
After
Stephanie did not like how her original veneers looked fake. Dr. Garpetti placed new veneers to give her a much more beautiful and natural-looking smile.
Before
After
Sometimes a smile transformation can change the way a person feels about their overall appearance. Chris had been unhappy with her teeth for many years. We were able to make her smile something she was proud of.
Before
After
Severely discolored teeth can be a result of taking tetracycline in early childhood. We can hide that grey color and correct tooth spacing using porcelain veneers and crowns.
Before
After
Who doesn’t want a more youthful appearance? Jim’s teeth became discolored and worn over many years of use. In only two visits we gave him the smile of a 20 year-old.
Before
After
Verda unfortunately lost her teeth in an accident. We were able to restore the look of her smile by replacing the missing teeth with dental implants.
Before
After
We first worked with our periodontist to improve gum tissue health. Dr. Garpetti then placed implants and porcelain crowns to complete this amazing transformation.
Before
After
Bonding is a great option to correct minor spaces. We were able to close the gaps and correct the tooth shape by adding composite material to the teeth. No drilling necessary.
Before
After
Lori was not happy with her front teeth and her old crowns did not match. We placed two new crowns on the front teeth and veneers beside them to make everything look perfect!
Before
After
Dave was not happy with the color and shape of his teeth. Thin minimal preparation veneers were used on ten of the upper teeth to make his smile new again.
Before
After
After many years of broken teeth being bonded & rebonded, the smile begins to have many different colors. Carol was thrilled to have her smile restored with porcelain crowns & veneers.
Before
After
This patient showed too much gum tissue on the left, causing the smile to look uneven. We corrected the tissue height using our dental laser then placed new crowns for a brighter smile.
Before
After
This 19 year-old young man had damaged his teeth playing sports. We placed minimal prep veneers on his front four teeth before he headed off to the Naval Academy.
Before
After
Many of us wear down our teeth by clenching or grinding. Over time teeth become shorter. The smile is restored by adding that length back with porcelain veneers or bonding.
Before
After
One of the most important things is size relationship of the front teeth. We can correct size & angulation of the teeth to obtain the “golden proportion.”
Before
After
Linda was thrilled to have a new smile. Veneers were used to correct the color and close the gaps between the teeth. What a difference!
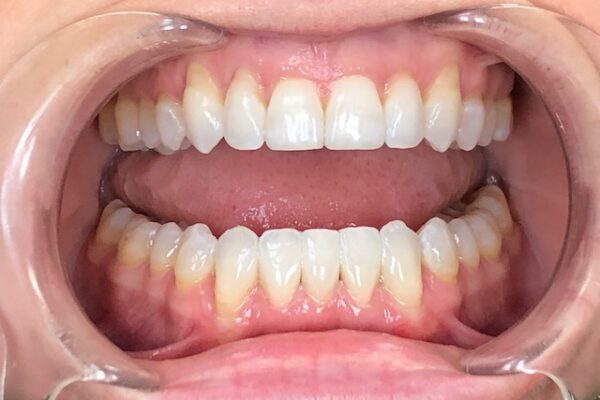
Before
After
This patient wanted to eliminate gaps between her teeth. Using cosmetic bonding, Dr. Garpetti was able to complete the lower black triangle closure and beautify her smile.